医療法人社団やまだ会

歯医者は兵庫県、神戸市西区で可能な限り歯の刺激に配慮 | むし歯治療

ご予約はこちら

むし歯治療

むし歯治療

Cavity treatment

歯をできるだけ残すむし歯治療をご提供

CAVITY TREATMENT

むし歯は日常生活に影響を及ぼすため、患者様一人ひとりのお悩みに合わせた治療を心がけています。できるだけ早い段階での発見・治療を大切にし、患者様の負担をできるだけ抑える治療を行っています。治療時の刺激を軽減するために、麻酔や機器の使用にも細やかな配慮を行い、小さなむし歯から神経まで進行した重度の状態まで、症状に合わせた適切な方法をご提案します。

なるべく歯を抜かない・削らない

黒木歯科医院では、患者様の負担をできる限り軽減し、歯の寿命を少しでも長く延ばせるように、最新の技術と設備を使用して大切な歯を残すことを心がけています。

むし歯ってどうしてできるの?

図のように、「細菌」「歯質」「糖質」の3つの要素に時間経過が加わることで、むし歯ができると言われています。歯磨きなどのお口のケアを怠っていると、歯の表面に歯垢(プラーク)というたくさんの細菌の塊が形成されます。その中にある「ミュータンス菌」が作る酸が歯のカルシウムを溶かし、むし歯ができてしまいます。むし歯のなりやすさ(リスク)は、細菌の量や甘いものを食べる頻度、唾液や歯の抵抗力など、個人によって異なります。一度むし歯になってしまった歯は、元には戻せないため、毎日しっかりと予防していきましょう。

むし歯の進行

むし歯の前兆として、
歯が少し溶け始めます

歯の表面に
むし歯ができます

むし歯が象牙質まで
進行し、冷たいものが
しみます

神経まで進行し
ズキズキ痛みます

神経が死んでしまい、
痛みを感じなくなります

痛くなくなったから放置してしまうと…

C4まで進行すると、むし歯菌によって神経が死んでしまい、痛みはなくなります。しかし、痛みがなくなったからといって放置すると、むし歯菌がやがて顎の骨の中まで侵入して「骨髄炎」という病気を引き起こすことがあります。症状としては、顎の骨の中で膿が溜まり顎や顔が腫れあがる、口臭がひどくなる、そして再び激し痛みが起こります。

さらに、顎の骨の中まで侵入したむし歯菌が全身に回ってしまうと、「心筋梗塞」や「脳梗塞」などの全身疾患を引き起こすことがあります。

むし歯はの放置は大変危険です。自覚症状が現れた時点ですぐに受診し、早急に治療しましょう。

むし歯の治療法

  • COこの状態なら、フッ素塗布やしっかりとしたケアを行えば、歯を削ることなく健康な歯に戻すことができます。
  • C1定期検診で管理しながら守っていくことができる場合もありますが、進行度が高い場合、むし歯の部分を削り、詰め物をして治療します。
  • C2むし歯の部分を削って銀歯を装着するか、白い詰め物をします。
  • C3歯の神経を抜くため、歯の根の治療(根管治療)が必要となります。治療回数は数回にわたり、歯を削った箇所は被せ物をします。
  • C4歯の神経を保存できる場合、C3と同様の治療をおこないます。不可能な場合は、抜歯となります。

生涯にわたりお口の健康を守るため、むし歯にさせない治療を行います

黒木歯科医院ではまずはじめに今のお口の状態をよく知り病気の現状と原因を検査し、「なぜむし歯になったのか」「むし歯にならないようにどうするべきか」を患者様と共に考え、アドバイスいたします。治療後も残った歯を大切にしていただくために、予防やケア・メンテナンスで、患者様のお口の健康をサポートします。

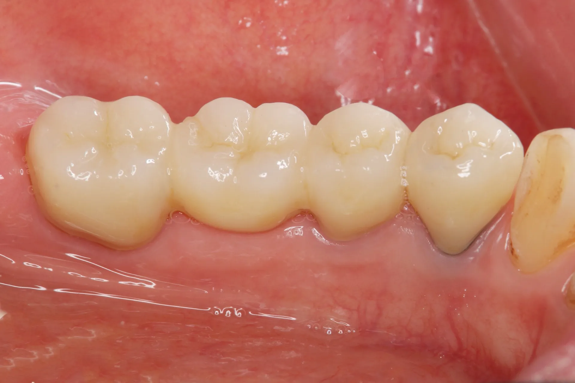
詰め物・被せ物について

詰め物とは

詰め物は、小さなむし歯を削り、穴が開いた場所を補うためのものです。直接白い樹脂を詰める場合と、型をとって詰め物を作製する場合があり、後者を歯科用語で「インレー」と呼びます。

被せ物とは

被せ物は、むし歯の進行が大きく、歯の神経を抜いたり、むし歯で失った部分が大きい場合に使用します。歯科用語では「クラウン」と呼びます。

詰め物・被せ物が取れてしまった時は

詰め物・被せ物が、なにかの拍子に取れてしまった経験がある方もいらっしゃるかと思います。詰め物・被せ物が取れた歯は、弱い歯質がむき出しの状態になるため、そのまま放置するとむし歯の再発だけでなく、噛み合わせや歯周組織などにも悪影響を及ぼします。なるべく早めに対処すれば、ほとんどの場合は問題ありません。再度装着できる場合もありますので、取れたものは捨てずにお持ちください。

美しく丈夫なセラミック治療

詰め物・被せ物は、数種類の中から選ぶことができます。その中でも「セラミック治療」は、保険適用外のため費用はかかりますが、天然の歯に近い素材や色で、銀歯よりも長持ちするなどのメリットがあります。

詰め物(インレー)の種類

※費用は税込です。

銀歯

素材 保険適用金属
見た目 ★☆☆☆☆
耐変色 ★★★☆☆
耐磨耗 ★★★★☆
メリット
  • 健康保険で安価にできる
  • 金属なので強度がある
デメリット
  • 噛む力によって徐々に変形していくため、銀歯と歯の接着面に隙間ができて細菌が付着しやすくなり、むし歯の原因になる
  • 金属色が徐々に移り、歯ぐきが黒ずんでくることがある
  • 口をあけたら金属色が見えることがある
  • 金属成分が溶け出し、金属アレルギーの原因になる場合がある
費用 【保険適用】約3,000円

ゴールド

素材 高カラット金合金
見た目 ★★☆☆☆
耐変色 ★★★☆☆
耐磨耗 ★★★☆☆
メリット
  • 体に優しい素材で、金属アレルギーが出にくい
  • 銀歯と違い、歯ぐきが黒ずまない
  • 柔らかく、しなやかに歯に馴染み、接着面からのむし歯になりにくい
  • 天然歯に近い硬さのため、咬み合わせの歯に影響が少ない
デメリット
  • 保険適用外なので、費用がかかる
  • 金色なので、少し目立つ
費用 【保険適用外】大臼歯 68,000円
       小臼歯 62,000円

ジルコニア

素材 酸化物系セラミック
見た目 ★★★★☆
耐変色 ★★★★★
耐磨耗 ★★★★★
メリット
  • 人工関節にも使用される材料で、体に馴染みやすい
  • 表面に細菌が付着しにくいため、むし歯や歯周病のリスクを抑える
  • 強度があり、安定している
  • 変色せず、自然の歯に近いかぶせ物を入れることができる
  • 金属アレルギーの心配がない
デメリット
  • 保険適用外のため、費用がかかる
費用 【保険適用外】63,000円

被せ物(クラウン)の種類

※費用は税込です。

銀歯

素材 保険適用金属
見た目 ★☆☆☆☆
耐変色 ★★★☆☆
耐磨耗 ★★★★★
メリット
  • 健康保険で安価にできる
  • 金属なので強度がある
デメリット
  • 噛む力によって徐々に変形していくため、銀歯と歯の接着面に隙間ができて細菌が付着しやすくなり、むし歯の原因になる
  • 金属色が徐々に移り、歯ぐきが黒ずんでくることがある
  • 口をあけたら金属色が見えることがある
  • 金属成分が溶け出し、金属アレルギーの原因になる場合がある
費用 【保険適用】約3,000円
【保険適用外】約38,000円

レジン前装冠

素材 樹脂+保険適用金属
見た目 ★★★☆☆
耐変色 ★★☆☆☆
耐磨耗 ★★★☆☆
メリット
  • 健康保険で安価にできる
デメリット
  • 白い所がプラスチック製で欠けやすく、細菌を付着させやすい
  • 経年劣化で色が黄ばむ(ホワイトニングでも取れない)
  • 裏が金属なので、歯茎に金属色が写り歯ぐきが黒ずんでくる
  • 口をあけたら金属色が見えることがある
  • 金属成分が溶け出し、金属アレルギーの原因になる場合がある
  • 保険適用できる歯が決まっている(主に前歯)
費用 【保険適用】前歯 約5,000円
【保険適用外】臼歯 58,000円

CAD/CAM冠

素材 ハイブリットセラミック
見た目 ★★★☆☆
耐変色 ★★★☆☆
耐磨耗 ★★★☆☆
メリット
  • 安価で白い被せ物を入れることができる
  • 金属を使わないので、金属アレルギーの心配がない
デメリット
  • 他の被せ物に比べ、割れたり外れたりしやすい
  • 強度が弱く、入れ歯のばねをかけることができない
  • 土台の歯を細くしないといけないため、神経が残っている歯は知覚過敏が起きやすい(特に前歯)
  • 金属の土台を入れている歯は、金属色が透けて見える
  • 色味が単調で、色の選択肢が限られている(※作成後は色変更不可)
  • 保険適用できる部位が決まっている
費用 【保険適用・部位により変動】7,000円〜10,000円

オールセラミック

素材 ファインセラミック(陶材)
見た目 ★★★★★
耐変色 ★★★★★
耐磨耗 ★★★★☆
メリット
  • 最も自然な色合いで、天然の歯と比べても遜色ない見た目
  • 変色しない
  • 表面に細菌が付着しにくいため、むし歯や歯周病のリスクを抑える
  • 内面には強度があり、生体にやさしいジルコニアを使用
  • 金属アレルギーの心配がない
デメリット
  • 保険適用外のため、費用がかかる
  • ごく稀に、上の層が欠けることがある
費用 【保険適用外】110,000円

ジルコニア

素材 酸化物系セラミック
見た目 ★★★★☆
耐変色 ★★★★★
耐磨耗 ★★★★★
メリット
  • 人工関節にも使用される材料で、体に馴染みやすい
  • 表面に細菌が付着しにくいため、むし歯や歯周病のリスクを抑える
  • 強度があり、安定している
  • 変色せず、自然の歯に近いかぶせ物を入れることができる
  • 金属アレルギーの心配がない
デメリット
  • 保険適用外のため、費用がかかる
  • オールセラミックに比べると色味が単調になる
    ※グラデーションのかかった綺麗な色のタイプもあります。
費用 【保険適用外】95,000円

関連ページ

RELATED POSTS

当店でご利用いただける電子決済のご案内

下記よりお選びいただけます。