歯がボロボロになってしまった時の治し方を解説
2024/04/22
中々歯医者に行けずにそのまま放置していた
歯医者が怖くて行けなかった等、歯がボロボロになる原因はそれぞれです。
このままではいけないと思いつつも中々踏み出せない方へ、どういった治療を行うのかお伝えさせていただきます。
是非参考にしてください。
Contents
ボロボロになった歯の治療の進め方
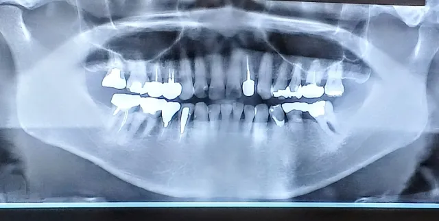
①レントゲンを撮影・治療スケジュールをお伝えします。
必要に応じレントゲンを撮影した後に、どの歯から治療していくか決めます。
基本的には痛みが出ている歯・早急に治療が必要な歯から治療を始めます。
1回や2回では終わりませんので、ある程度長期に渡って少しずつ治療を進めていきます。
②根管治療・歯周病治療を行い、状態の悪い歯を治す
歯がボロボロになっている状態は、まず虫歯になっている箇所の除去を行います。
虫歯が深い場合には、汚染された歯の神経を取り除き、根の中を除菌します。
これを「根管治療」といい、治療も複数回にわたる場合があります。
歯周病が進行している場合はこちらの治療も併せて行います。
上記の治療で症状の改善が見込めない場合は抜歯になりますが、なるべく歯を残す方向で治療を進めていきます。

③被せ物の装着
根管治療・歯周病治療で口内環境が正常に戻れば被せ物の装着に入ります。
被せ物の種類は保険治療から自由診療のものまで豊富にあり、患者様のご希望に応じて装着してまいります。
例えば被せ物としてよく使われるセラミックは天然の歯の色調・光沢・透明度・質感を忠実に再現できるだけでなく、
虫歯が再発しにくい、経年的な変色・摩耗が起こりにくい、金属アレルギーのリスクがないなどのメリットがあります。
セラミックは自費治療になります。
④定期検診・メンテナンス
これまでで口内環境が清潔になり、正常な状態に戻っていますが、ここで安心してはいけません。
良い状態を長く保っていくには、治療後も適切なケアが必要になってきます。
自宅での歯磨きを含むセルフケアは勿論ですが、定期的に歯医者へ通い定期検診・クリーニング等を実施しましょう。
セルフケアだけでは取り除けない歯石等もございます。
今後も清潔な口内環境を保ち、人生を豊かにするためにもぜひ定期検診にお越しください。
通える範囲の歯医者に行くということも重要です。
歯がボロボロの状態での治療は複数回・長期の来院が必要です。
このようになった場合、通うことが億劫な場所の歯医者だとスケジュール通りに進みづらく
その分期間や費用もかかってしまうことになります。

当院は神戸市営地下鉄西神・山手線「学園都市駅」から徒歩2分の立地です。
学園都市にお住まいの方は勿論、神戸市営地下鉄西神・山手線をご利用の方であれば
通いやすい駅近に歯医者がございます。
是非、歯がボロボロで困っている方は、当院へご相談ください。
----------------------------------------------------------------------
医療法人社団やまだ会 黒木歯科医院
住所 : 兵庫県神戸市西区学園西町5丁目2−2
電話番号 : 078-794-4180
----------------------------------------------------------------------


